การจัดฟันแบบใสและขั้นตอนการจัดฟันมีรูปคนน่ารักจัดฟันด้วย

การจัดฟันแบบใสและขั้นตอนการจัดฟันมีรูปคนน่ารักจัดฟันด้วย
การจัดฟันแบบใสไร้เหล็ก (Invisalign) คือ อะไร

การ จัดฟันแบบใสไร้เหล็ก เป็นการใช้เครื่องมือจัดฟันที่มีความใสและสามารถ ถอดออกได้ และออก แบบมาเพื่อให้เหมาะกับคนไข้แต่ละบุคคล เครื่อง มือจัดฟันแบบใส (aligners) นี้สามารถทำให้ฟัน ของคุณจัดเรียงได้สวยงาม โดยที่ไม่มีใครรู้ ต่าง จากการจัดฟันแบบใส่เหล็กทั่วไป โดยเครื่องมือจัด ฟันแต่ละชุดจะค่อยๆจัดเรียงฟันอย่างเป็นธรรมชาติ ด้วยเหตุนี้ จึงทำให้การแปรงฟันและการทานอาหาร ของคุณไม่เป็นเรื่องยากอีกต่อไป 

การจัดฟันแบบใสและขั้นตอนการจัดฟันมีรูปคนน่ารักจัดฟันด้วย

วิธีการรักษา

เฉลี่ย แล้ว จะใช้เวลาในการรักษาประมาณ 1-2  ปี ซึ่งจะใช้เวลาการรักษาน้อยกว่าการจัดฟันแบบด้านนอกทั่วไป ประมาณ 30 % ทั้งนี้ขึ้นอยู่กับปัญหาทางด้านสุขภาพฟันและโครงสร้างฟันของแต่ละคน ดังนั้นระยะเวลาจึงอาจไม่เท่ากันในแต่ละบุคคล  โดยคุณควรเข้ามาพบแพทย์จัดฟันทุกๆ 6-8 สัปดาห์ เพื่อดูความคืบหน้าของการจัดเรียงฟัน และเปลี่ยนเครื่องมือจัดฟันชุดใหม่ ซึ่งแต่ละชุดจะทำให้ฟันค่อยๆ เคลื่อนไปสู่ตำแหน่งที่แพทย์จัดฟันกำหนดไว้ ส่วนจำนวนชุดของเครื่องมือจัดฟัน ขึ้นอยู่กับความเหมาะสม ของแต่ละบุคคลโดยมีแพทย์จัดฟันเป็นผู้กำหนด

การจัดฟันแบบใสและขั้นตอนการจัดฟันมีรูปคนน่ารักจัดฟันด้วย
การจัดฟันแบบใสและขั้นตอนการจัดฟันมีรูปคนน่ารักจัดฟันด้วย

จัดฟันใสไร้เหล็ก (Invisalign)

จัดฟันแบบเหล็ก (Metal Braces)

การแต่งเติมฟัน
(Veneers)

วิธีการทำงาน

ใช้ชุดจัดฟันแบบใส และถอดเปลี่ยนได้ สำหรับ การจัดฟัน โดยไม่มีลวดจัดฟัน หรือ brackets

ใช้ลวดจัดฟัน และ brackets เพื่อจัดฟันให้ตรง ตามแนวที่ต้องการ

ใช้วัสดุลามิเนท ติดเข้าที่ฟัน เพื่อปิดส่วนไม่สวยงาม

ยากแก่การมองเห็น

ใช่

ไม่

n/a

ถอดออกได้

ใช่

ไม่

n/a

สะดวกสะบาย

ใช่

ไม่

n/a

ไม่ระคายเคืองในปาก

ใช่

ไม่

n/a

ไม่ต้องกรอผิวหน้า ฟันออก

ใช่

ใช่

ไม่

ไม่ต้องเสียค่าใช้ จ่ายสูงเพื่อทำครอบ ฟัน

ใช่

n/a

ไม่

สามารถแปรงฟัน และใช้ไหมขัด ฟันได้ขณะรักษา

ใช่

ไม่

n/a


การจัดฟันแบบใส ทำให้ฟันเข้าที่เร็ว 
ปกติการจัดฟันแบบเหล็กจะใช้เวลา 1-3ปี  
แต่ถ้าจัดฟันแบบใสจะใช้เวลาน้อยกว่าการจัดแบบเหล็ก 1 ปี 
คือใช้เวลาในการจัด 1-2 ปี

         การจัดฟันแบบใสและขั้นตอนการจัดฟันมีรูปคนน่ารักจัดฟันด้วย
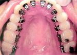
มาถึง การจัดฟันด้านใน

การจัดฟันแบบใสและขั้นตอนการจัดฟันมีรูปคนน่ารักจัดฟันด้วย    การจัดฟันแบบใสและขั้นตอนการจัดฟันมีรูปคนน่ารักจัดฟันด้วย       การจัดฟันแบบใสและขั้นตอนการจัดฟันมีรูปคนน่ารักจัดฟันด้วย

การจัดฟันแบบใสและขั้นตอนการจัดฟันมีรูปคนน่ารักจัดฟันด้วย   >>  การจัดฟันแบบใสและขั้นตอนการจัดฟันมีรูปคนน่ารักจัดฟันด้วย  >> การจัดฟันแบบใสและขั้นตอนการจัดฟันมีรูปคนน่ารักจัดฟันด้วย
>>   การจัดฟันแบบใสและขั้นตอนการจัดฟันมีรูปคนน่ารักจัดฟันด้วย     >>>>>>>  การจัดฟันแบบใสและขั้นตอนการจัดฟันมีรูปคนน่ารักจัดฟันด้วย
และการจัดฟันแบบสีเหมือนฟัน
การจัดฟันแบบใสและขั้นตอนการจัดฟันมีรูปคนน่ารักจัดฟันด้วย       การจัดฟันแบบใสและขั้นตอนการจัดฟันมีรูปคนน่ารักจัดฟันด้วย
จขกท.เหนื่อยคะ
เครดิตจาก  : 
htts://www.dentajoy.com/th/orthodontics_invisalign.asp
htts://www.silomdental.com/dental_thai/lingual_orthodontics.html
htts://www.dentalstudioclub.com/th/view_kn.aspx?id=7